← Terug naar lijst

Suikerziekte

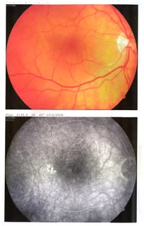
Suikerziekte is een zeer vaak voorkomende oorzaak van slechtziendheid en kan verstopping of lekken van de bloedvaten in het netvlies veroorzaken. 

1. Diabetische retinopathie (DRP)

Bij diabetes of suikerziekte kunnen de bloedvaatjes van het netvlies aangetast worden. Hierdoor gaan capillairen (haarvaatjes) verstoppen waardoor er zuurstofgebrek ontstaat (ischemie) en dit leidt tot retinale bloedingen, microaneurysma’s en uiteindelijk tot de vorming van abnormale bloedvaten (nieuwvaatvorming). Deze veranderingen kunnen zeer weinig klachten veroorzaken tot er een bloeding ontstaat in het glasvocht wat eenplotse daling van het zicht veroorzaakt en indien niet behandeld tot blindheid. De behandeling bestaat uit laser fotocoagulatie in verschillende sessies. Meestal is dit een behandeling over 1 à 2 tal jaar. Deze laserbehandeling kan leiden tot een vernauwing van het gezichtsveld en nachtblindheid. In sommige gevallen is een operatie (vitrectomie) nodig.  

Risicofactoren zijn de duur van diabetes, slechte glycemiecontrole, verhoogde bloeddruk en roken. DRP is de belangrijkste oorzaak van slechtziendheid in de Westerse wereld tussen de leeftijd van 20 en 60 jaar. Wanneer op tijd opgespoord kan in de meeste gevallen het zicht vrij goed bewaard worden, een jaarlijkse controle vanaf de diagnose van diabetes mellitus type 1 & 2 is noodzakelijk.

2. Diabetisch maculair oedeem (DMO)

Maculair oedeem is een zwelling van de macula door lekkage uit de centrale haarvaatjes. Deze aandoening gaat steeds in mindere of meerdere mate gepaard met DRP, DRP kan daarentegen voorkomen zonder DMO. De behandeling van DMO bestaat uit focaal maculaire laser indien gelokaliseerd oedeem of intravitreale injecties indien diffuus oedeem.  Ook hier is de behandeling dikwijls frequent te herhalen en over meerdere jaren. Risicofactoren zijn vergelijkbaar met DRP.


Behandeling:

Door een kleurstof in een van de bloedvaten in te spuiten, kunnen nauwkeurige foto’s van de bloedvaten in het netvlies gemaakt worden om de afwijkingen veel beter zichtbaar te maken (fluorescentie angiografie). 

In een aantal gevallen kan een laserbehandeling de verdere achteruitgang van het gezichtsvermogen tegen gaan indien deze behandeling tijdig uitgevoerd wordt. Ook intravitreale injecties hebben een plaats in de behandeling.


Oogarts: 

Dr. Goethals en Dr. Moriën onderzoeken de patiënten in het Oogcentrum . 


 

Meer informatie vindt u in onze brochure (NL): klik hier

Trouvez plus d'information dans la brochure (FR): cliquez ici